Wisdom Teeth Extractions

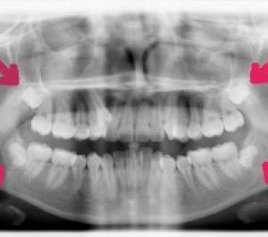
X-ray of teeth showing wisdom teeth needed to be extracted

Again at Capital Dental we pride ourselves as General Dentists to handle most surgical procedures including the removal of one to many teeth including wisdom teeth extractions in our office. We will be sure that you are completely comfortable, if sedation is necessary.

We also have the ability to remove oral lesions for biopsy and tissue recontouring. In some cases where you may need to see a specialist, we work with top oral surgeons in the area.

Share on Social Media

Make an appointment

CAPTCHA